脑脓肿可以进行CT或MRI影像检查吗
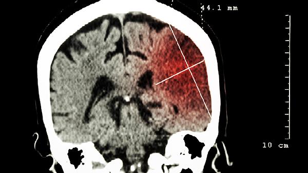
脑脓肿患者可以进行CT或MRI影像检查,这两种检查方式均是诊断脑脓肿的重要手段。

CT检查对脑脓肿的诊断具有较高敏感性,能够清晰显示脓肿的位置、大小以及周围脑组织水肿情况。在脑脓肿早期,CT平扫可表现为边界模糊的低密度灶,增强扫描后脓肿壁呈现环形强化。CT检查的优势在于操作简便、耗时短,适合急诊患者或无法耐受长时间检查的患者。对于存在颅骨伪影或后颅窝病变的患者,CT可能受到一定限制。

MRI检查在脑脓肿诊断中具有更高分辨率和多序列成像优势。T1加权像上脓肿呈低信号,T2加权像呈高信号,增强扫描可见明显环形强化。弥散加权成像能有效区分脑脓肿与其他囊性病变,表现为弥散受限高信号。MRI对脑干、小脑等后颅窝病变显示更清晰,但检查时间较长,且不适用于体内有金属植入物的患者。

脑脓肿患者需在医生指导下根据病情选择合适的影像学检查。CT和MRI均可作为脑脓肿诊断的有效手段,必要时可联合使用以提高诊断准确性。影像学检查结果需结合临床表现及其他实验室检查综合判断,为后续治疗方案的制定提供依据。
- 怀疑脑梗死后遗症挂什么科
- 脑梗塞烟雾病怎么治疗
- 文章链接 : http://www.congkang.com/detail/ck226389.html (转载时请注明本文出处及文章链接)
大家都在看

-
降压药不会使血管变薄变脆
常用的五大类降压药(钙离子拮抗剂、沙坦类、普利类、β受体阻滞剂、利尿剂)通过不同机制降低血压,如扩张血管、减少阻力、减慢心率等,并不会导致血管变薄变脆或硬化。相反,它们对心脑肾有保护作用。长期高血压才是损伤血管的主要原因,需规范用药控制血压。
2025-11-18 14:00:02

-
复方丹参片与滴丸有何不同?
复方丹参片与滴丸成分不同:滴丸含丹参素、三七总皂苷及冰片,片剂含丹参酮、三七粉及冰片。滴丸起效更快(3分钟融化、3-8分钟缓解心绞痛),且冰片用量少对胃肠道刺激小,更适合急性心脑血管症状患者舌下含服。
2025-11-18 14:00:02

-
动脉斑块不等于脑梗!四高控制是关键!
动脉斑块分为低回声(不稳定)和强回声(稳定),狭窄<50%风险低,>50%需用阿司匹林、他汀类药物,并控制四高(高血压、高血糖、高血脂、高同型半胱氨酸)。遵医嘱定期复查可降低脑梗风险。
2025-11-18 14:00:02

-
硝酸甘油速效救心丸丹参滴丸能否同用?
硝酸甘油、速效救心丸、丹参滴丸不宜同时服用。硝酸甘油降压需谨慎;速效救心丸起效较慢;丹参滴丸用于预防治疗心脑血管疾病。胸痛持续20分钟以上或含服无效应立即就医。
2025-11-18 14:00:02

-
颈动脉斑块:类型与治疗方法
颈动脉斑块是颈部血管动脉粥样硬化常见病变,由高血压、糖尿病等危险因素引发。分为易损性(低回声)和非易损性(等/强回声)两种类型。症状多在血管狭窄闭塞或斑块破裂时出现,如头晕、肢体无力等。可通过颈部彩超、CTA或DSA检查诊断,并根据狭窄程度决定药物治疗或手术干预。
2025-11-18 14:00:02

-
不吃他汀更伤肝?真相令人意外!
高血脂不治疗可能加重脂肪肝和肝损伤;他汀可降低肝癌风险33%并改善肝纤维化;需医生评估使用,并定期复查肝功能等指标;无转氨酶异常时无需保肝药。
2025-11-18 13:59:02

-
阿托伐他汀vs瑞舒伐他汀:降脂效果与副作用对比
阿托伐他汀与瑞舒伐他汀均为第三代他汀类药物,降脂效果及作用时长相似。阿托伐他汀主要经肝脏代谢,对肝功能影响较大但停药可恢复;瑞舒伐他汀肌肉毒性风险更高。两者均需监测肌酸激酶及肝功能,阿托伐他汀对肾脏影响较小且药物相互作用较少。
2025-11-18 13:59:02

-
普利类降压药起效与维持时间对比
普利类降压药起效时间及维持:卡托普利15分钟起效,6-8小时作用;伊纳普利1小时起效,24小时有效;贝纳普利0.5-1小时起效,24小时平稳降压;培哚普利1小时起效,6小时达峰;福辛普利1小时起效,5-6小时作用最强。#降压药 #健康知识
2025-11-18 13:59:02

-
记忆力差注意力不集中手指操
针对记忆力差、注意力不集中的问题,推荐三个手指操:一枪打四鸟(双手交替各做50次),五指依次触碰大拇指(双手对齐),帮助提升专注力与记忆力。
2025-11-18 13:59:02

-
中药三煎法:药效翻倍!泡脚更有效!
教你三招提升中药药效:1.冷水浸泡1小时使药材充分膨胀;2.大火煮沸后转小火煎20-30分钟,煎后挤压药渣回收药汁;3.剩余药渣加5倍水量第三次煎煮至40℃左右,祛湿方可泡脚,虚寒方热敷小腹,活血方熏洗疼痛处,实现药效最大化利用。
2025-11-18 13:59:02

