
-
什么是口腔扁平苔藓
口腔扁平苔藓是一种常见的慢性口腔黏膜皮肤疾病。 口腔扁平苔藓的临床表现多种多样,其中常见的表现为白色网状或斑块状的病变,通常出现在口腔的内侧颊部、舌头、牙龈或软腭。部分患者还可能出现红肿、溃疡或糜烂
2025-11-10 01:16:58

-
脑震荡出现的具体原因有哪些
脑震荡出现的具体原因有哪些?如果一个人的脑部受到了很巨大的撞击之后,很有可能会给大脑带来一定的伤害,让大家患上脑震荡的几率增加,大家要知道,脑震荡属于一种会影响大家智力的一种疾病,那么,脑震荡出现的具
2025-11-10 01:16:58

-
怎么预防诺如病毒
目前已进入冬春季节,是诺如病毒感染的高发期。约60-70%的腹泻与诺如病毒感染有关,尤其是儿童和中小学生。那么如何预防诺如病毒感染呢?感染诺如病毒后如何治疗?让我们一起往下看。 诺如病毒如何预防?
2025-11-10 01:16:57

-
春天为什么要补钙
春天是一个适合补钙的季节,主要是因为以下几个原因: 1.春天是维生素D的重要来源:维生素D是帮助钙吸收和利用的关键营养素。在春天,阳光辐射增强,人体皮肤暴露在阳光下时,可以合成和储存更多的维生素D。
2025-11-10 01:16:00

-
人流后第一次月经腹痛怎么办
人流后第一次月经腹痛可通过热敷、调整饮食、适当休息、遵医嘱用药、心理疏导等方式缓解。人流后月经腹痛可能与子宫收缩、激素水平变化、子宫内膜修复、感染、宫腔粘连等因素有关。1、热敷 使用热水袋或暖宝宝对
2025-11-10 01:15:58

-
肺动脉压力增高是什么原因导致的
肺动脉压力增高的原因往往与多种疾病或病理机制有关,建议尽早就医,明确病因和制定治疗方案。 这是一种因肺循环内压力异常增高的病理状态,通常意味着血液在肺动脉流动时受到更大的阻力或有其他异常情况。可以分
2025-11-10 01:15:58

-
治湿疹的药有哪些
湿疹作为一种常见的皮肤炎症,其治疗药物种类繁多,选择时需根据患者病情及体质,因病施治,方能取得良好效果。湿疹的治疗药物主要包括以下几类: 1、抗炎抗过敏药 这类药物如氢化可的松乳膏、地塞米松软膏等
2025-11-10 01:15:57

-
后心疼是癌症早期信号吗
后心疼可能是癌症早期信号,也可能不是,需要根据患者临床症状并结合相关检查进行分析。 1、后心疼是临床上常见的症状,患者通常背部、肩部、上腹部会出现疼痛,可能是肌肉劳损,或者神经病变,对脊髓神经造成压
2025-11-10 01:15:57

-
血脂高和血稠是一样吗
血脂高和血稠是两个不同的医学概念,分别代表血液中的脂质浓度和血液黏度。 血脂高主要指血液中低密度脂蛋白胆固醇、甘油三酯等脂质成分的浓度升高,这是由于遗传因素、饮食习惯、代谢异常等原因导致的。这种情况
2025-11-10 01:15:56

-
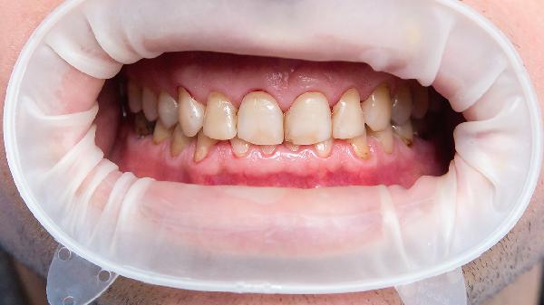
牙周炎需要治住院吗
牙周炎是一种常见的口腔疾病,其治疗一般不需要住院治疗,这是因为牙周炎的治疗大多可以通过门诊手术和药物治疗完成,而这些治疗方式通常不需要长时间的康复期或复杂的术后护理。 牙周炎的基础治疗方法之一是洗牙
2025-11-10 01:15:56

-
肾萎缩患者怎样饮食才合理
肾萎缩是让很多的人苦恼和郁闷的疾病,很多的人不管有没有接触过,都要注意了解,但是肾病是很多的人都是大家愿意忍受的,患上此病应该注意饮食护理,那么,肾萎缩患者如何进行饮食调理,我们看看专家的详细介绍。
2025-11-10 01:15:54

-
治疗类风湿性关节炎中药配方
处方一,如果类风湿性关节炎患者辨证属于风寒湿邪,瘀滞经络型,在治疗时就要使用可以活络止痛的药物,可选用的方剂名为宣络通痹汤。其中的成分包括了当归,熟地,苍耳子,蜂房,乌蛇,土鳖虫,全蝎,蜈蚣,山甲珠,
2025-11-10 01:15:53

-
经常口臭有异味怎么办
经常口臭有异味一般可以通过保持良好的口腔卫生、注意饮食调整、警惕可能存在的疾病等方法改善。 保持良好的口腔卫生是关键。口臭往往源于口腔内的细菌滋生,因此定期刷牙、使用牙线清洁牙缝、漱口水漱口等,都是
2025-11-10 01:15:53

-
生小孩后血压高多久恢复
生小孩后血压高的恢复时间因人而异,通常在几周到几个月之间。对于那些在怀孕期间没有高血压病史的年轻产妇,血压通常会在几周内恢复正常。然而,如果产妇有高血压病史或在妊娠期间出现高血压,恢复可能会更慢,甚至
2025-11-10 01:14:56

-
脊髓栓系是啥意思
脊髓栓系是指脊髓或圆锥受牵拉、固定而引起的神经功能障碍的一种先天性发育异常疾病。 脊髓栓系是由于脊髓末端与椎管内结构粘连或瘢痕化导致其位置低于正常水平。这使得脊髓受到机械性压迫,影响神经信号传导,进
2025-11-10 01:14:53

-
颈淋巴肿大看什么科
颈淋巴肿大看免疫科和肿瘤科或者耳鼻喉科,颈淋巴肿大可以口服一些抗生素的药物,比如阿奇霉素、红霉素、阿莫西林胶囊和青霉素等。 在平时生活中不要吃容易上火和刺激性较强的食物,比如薯条、辣椒、胡椒粉等,可
2025-11-10 01:14:53

-
如何引起腺病毒阳性
如何引起腺病毒阳性? 腺病毒阳性一般是指腺病毒感染,腺病毒感染一般是由自身免疫力低下、接触腺病毒感染、接触病毒污染物品等原因引起的,建议患者及时治疗。 1、自身免疫力低下: 如果患者经常下雨或感
2025-11-10 01:14:53

-
躁狂的原因是什么
躁狂的原因是什么?躁狂是一种更常见的情绪障碍疾病,主要症状很多,如情绪膨胀、易怒、冲动等,对患者的生活和工作造成很大的影响和伤害,今天我们一起了解躁狂的原因是什么? 1、身体因素:循环人格的主要特点
2025-11-10 01:14:52

-
骨质增生伴筋膜炎吃什么药
骨质增生伴筋膜炎,可以吃非甾体抗炎药、活血化瘀的药物、营养神经的药物、肌肉松弛剂等。建议患者在医生指导下用药,避免盲目用药。 1、非甾体抗炎药:骨质增生伴筋膜炎可能是长期从事重体力劳动,导致关节软骨
2025-11-10 01:14:52

-
怎么预防尖锐湿疣传染
尖锐湿疣是一种由人乳头瘤病毒HPV引起的传染性疾病,预防的关键是避免高危行为,注重个人卫生,增强免疫力,并配合必要的疫苗接种或医疗建议。 1、避免不安全的性行为 尖锐湿疣的主要传播途径是性接触,因
2025-11-10 01:14:51

-
秽语抽搐综合征好治吗
秽语抽搐综合征,又称抽动秽语综合征,是一种复杂的神经精神疾病,表现为不自主的抽动和发出声音。许多患者和家长都关心,这种病症是否容易治疗。实际上,其治疗效果受多种因素影响,包括病症的严重程度、患者的年龄
2025-11-10 01:14:50

-
皮肤发痒要警惕四种病
并没有皮肤发痒要警惕四种病这种说法,皮肤发痒可能是不注意个人卫生、蚊虫叮咬、过敏、荨麻疹、湿疹等原因引起,应及时就医治疗。1、不注意个人卫生: 平时不勤换洗内衣或不经常洗澡,使身体细菌滋生,从而引发
2025-11-10 01:14:46

-
牙龈肿了吃头孢可以消炎吗
牙龈肿了可以遵医嘱吃头孢类药物消炎,但需明确病因后针对性用药。头孢类抗生素适用于细菌感染引起的牙龈炎症,对病毒感染或非感染性肿胀无效。牙龈肿痛常见原因包括智齿冠周炎、牙周脓肿、根尖周炎等细菌性感染,也
2025-11-10 01:14:44

-
闭眼眼皮不停抖动无法睡眠怎么回事怎么办
闭眼眼皮不停抖动无法睡眠可能是精神紧张、受凉、干眼症等原因引起的,可以通过加强生活管理、局部用药等方法改善。 1、精神紧张: 如果患者的精神压力比较大,会导致精神长期处于紧绷状态,可能会影响正常的
2025-11-10 01:14:44

-
痛风石会造成什么危害
痛风石是一种由尿酸结晶沉积在关节或其他组织中形成的结节状病变。它通常与高尿酸血症有关,即血液中的尿酸水平过高。 痛风石的主要危害包括以下几个方面: 1.疼痛和不适:当尿酸结晶沉积在关节周围时,会引
2025-11-10 01:13:50