
-
活血化瘀的药会导致痔疮复发吗
活血化瘀的药是否会导致痔疮复发,要根据具体情况来判断,如果规范应用药物,并且养成了良好的生活习惯,通常不会导致痔疮复发,反之,则会导致痔疮复发,疾病复发后需要及时就医进行规范治疗。 痔疮是临床上常见
2025-10-31 16:20:23

-
右侧输尿管结石如何治疗
右侧输尿管结石可以通过药物排石、体外冲击波碎石,以及手术等方式进行治疗。建议患者及时就医,在医生指导下选择合适的治疗方法。 1、药物排石:如果患者的症状比较轻微,并且没有出现明显的不适感,则可以遵医
2025-10-31 16:19:19

-
结节穿刺是什么意思
结节穿刺是一种医学检查方法,旨在通过细针或粗针穿刺结节,获取组织样本进行病理学分析,从而明确结节的性质。这种技术在甲状腺结节、乳腺结节及肺结节等多种疾病的诊断中发挥着关键作用。 在甲状腺结节的诊断中
2025-10-31 16:19:18

-
骨质增生伴滑膜积水
骨质增生伴滑膜积水,通常是指骨质增生导致关节腔内出现积液。骨质增生是一种正常的退行性病变,主要是由于关节软骨被破坏、关节边缘骨质增生引起,会导致关节疼痛、肿胀以及活动受限等症状。 hzh{displ
2025-10-31 16:18:14

-
尿道结石能引起排尿困难尿频尿急吗 尿结石给患者带来5种并发症
尿道结石可能引起排尿困难、尿频、尿急等症状,还可能引发尿路感染、肾积水、肾功能损害、尿潴留、尿路梗阻等并发症。尿道结石是泌尿系统常见疾病,多由代谢异常、尿路感染、尿路梗阻等因素导致。1、尿路感染 尿
2025-10-31 16:18:13

-
治疗颈动脉斑块的偏方有什么
并没有治疗颈动脉斑块的偏方,颈动脉斑块可以通过一般治疗、口服降压药、口服抗血小板聚集药等方法治疗。 1、一般治疗: 该病主要与不健康的生活方式、高血压、糖尿病等因素有关,患病后会出现颈动脉与椎动脉
2025-10-31 16:17:11

-
膝骨关节病的治疗
膝骨关节病的治疗方法一般包括药物治疗、物理治疗、注射治疗、手术治疗、中医治疗等,建议到医院咨询然后选择合适的治疗方法。 1、药物治疗:包括布洛芬缓释胶囊、玻璃酸钠注射液等,用于缓解疼痛、减轻炎症反应
2025-10-31 16:17:08

-
心脏骤停后能做支架吗
心脏骤停后能做支架吗? 1、支架临床上是指心脏支架手术。如果是心源性因素引起的,心脏骤停后可以做心脏支架手术。如果是非心源性因素引起的,心脏骤停后不能做心脏支架手术。 2、心脏骤停是指心脏射血功能
2025-10-31 16:17:06

-
卵黄性腹膜炎怎么得的
卵黄性腹膜炎通常由细菌感染、卵黄囊破裂、免疫功能低下、邻近器官炎症扩散、医源性因素等原因引起。卵黄性腹膜炎可通过抗生素治疗、手术引流、营养支持、疼痛管理、并发症预防等方式治疗。1、细菌感染 细菌感染
2025-10-31 16:16:04

-
吃点饭就胃里发热隐隐的疼
吃了一点饭就感觉胃里发热、隐隐作痛,这种情况可能让人感到不安。通常,这种症状可能与饮食不当、慢性胃炎或胃溃疡有关。建议尽快就医,听取医生的建议进行针对性治疗。 1、饮食不当:如果你最近吃了很多辛辣刺
2025-10-31 16:15:03

-
如何才能扭伤和肿胀
如何扭伤和肿胀? 扭伤和肿胀的原因可能是软组织损伤、皮下出血、炎症反应等。可以通过物理治疗和药物治疗来改善。 1、软组织损伤 软组织损伤后会出现肿胀现象,有些患者活动有限,但也伴有疼痛症状,可通
2025-10-31 16:15:01

-
女人多大年龄没有生育能力
并不存在女人多大年龄没有生育能力这种说法,因为每个人的实际情况都不一样,绝大多数女性在45-55岁之间没有生育能力。如果患者在生活中出现不适的症状,建议及时就医治疗。 一般情况下,女性如果出现了绝经
2025-10-31 16:14:58

-
腰突胯骨疼是怎么回事
腰突胯骨疼,可能和过度劳累、局部外伤、神经压迫、股骨头坏死、股骨颈骨折等原因有关。建议及时就医,明确病因后,在医生指导下给予相应的治疗措施。 1、过度劳累:在短时间内,如果进行了过于剧烈的运动或重体
2025-10-31 16:13:57

-
检查骨头坏死做什么检查好
检查骨头坏死时,选择合适的检查方法至关重要。常见的检查手段包括X线检查、CT检查、MRI检查、血生化检查和骨髓活检。每种方法都有其独特的优势和适用场景,因此在进行检查前,建议在专业医生的指导下选择最合
2025-10-31 16:12:51

-
什么措施可预防右心室双出口
什么措施可预防右心室双出口? 右心室双出口是由胎儿发育异常引起的,属于一种心脏发育畸形,为了很好地预防这种疾病的发生,需要从母亲怀孕开始。 与医生进行更多的沟通。虽然听起来很常见,但它非常实用和有
2025-10-31 16:11:49

-
肩峰撞击症不治疗的后果是什么
肩峰撞击症一般是指肩峰下撞击征。肩峰下撞击征不治疗的后果主要有疼痛持续加剧、关节活动受限、肌肉力量下降、关节退变、肌肉萎缩等。如果症状持续加重,要及时到医院就诊。1、疼痛持续加剧: 肩峰下撞击征是一
2025-10-31 16:11:43

-
经常生气胃疼会得胃癌吗
经常生气,出现胃痛,可能会增加胃癌的风险,但并不是直接导致胃癌的原因。 胃癌的发生与多种因素有关,包括饮食、感染、遗传、环境,以及患有胃炎、胃溃疡等胃部的基础疾病。经常生气和胃痛可能会影响消化功能,
2025-10-31 16:10:38

-
男性尿道口外翻是怎么回事
男性尿道口外翻可能是外伤、包皮龟头炎、尿道炎、尿道结石、淋病引起的,如果出现不适症状,建议及时就医,在专业医生的指导下进行诊断和治疗。具体分析如下: 1、外伤:如跌倒、碰撞、挤压等外伤,可能会导致尿
2025-10-31 16:10:38

-
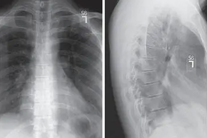
胸腔积液有分隔是怎么回事
胸腔积液有分隔可能由结核性胸膜炎、恶性肿瘤胸膜转移、脓胸、类风湿性胸膜炎、创伤性血胸等原因引起,可通过胸腔穿刺引流、抗感染治疗、化疗、免疫调节治疗、手术治疗等方式干预。1、结核性胸膜炎 结核分枝杆菌
2025-10-31 16:10:37

-
甲沟炎怎么治疗最快最好方法
甲沟炎治疗最快最好的方法是局部消毒、抗生素治疗和必要时手术引流。早期发现并处理是缩短病程的关键。保持局部清洁、避免挤压、及时就医是预防和缓解甲沟炎的重要措施。 1、局部消毒:使用碘伏或酒精对患处进行
2025-10-31 16:09:35

-
了解老年疝气有什么独特之处吗
人只要已进入老年阶段,就可以明显的察觉到自己的身体远远的大不如前了,医院甚至成为了他们的另一个家,只要是疾病对于现在的他们来说都是危险的!老年疝气疾病的发生会给老年疝气患者机体造成非常严重的损害,所以
2025-10-31 16:09:33

-
吃鸡胸肉有什么好处
吃鸡胸肉有助于补充蛋白质、增强免疫力、缓解疲劳和增强记忆力。它是一种健康的食材,适合大多数人的饮食需求。 1、优质蛋白质的来源 鸡胸肉是瘦肉中蛋白质含量较高的食物之一,含有丰富的优质动物蛋白。蛋白
2025-10-31 16:08:28

-
胸椎里边疼是怎么回事
胸椎里边疼可能由肌肉劳损、胸椎小关节紊乱、骨质疏松、胸椎间盘突出、强直性脊柱炎等原因引起,可通过休息理疗、药物镇痛、物理治疗、手术治疗等方式缓解。1、肌肉劳损 长期保持不良姿势或过度负重可能导致胸椎
2025-10-31 16:07:22

-
鼻腔脑脊液漏几天能好
鼻腔脑脊液漏的恢复时间因人而异,通常需要从几天到几周不等。这主要取决于漏出的严重程度以及是否有并发症。轻度的鼻腔脑脊液漏可能在几天内自行愈合,因为漏出的脑脊液量较少且没有引起严重并发症。而严重的情况可
2025-10-31 15:09:34

-
腰椎埋线疗法有什么副作用
腰椎埋线疗法也存在一定的副作用,比如局部可能会出现红、肿、热、痛等无菌性的炎症。 腰椎埋线疗法是穴位埋线治疗,类似于长时间针灸刺激治疗,也就是将埋线代替了针灸针,将羊肠线埋入腧穴,通过针具和药线穴位
2025-10-31 15:05:15