
-
尿猪溜的症状
尿猪溜指的是尿潴留,尿潴留的症状有排尿困难、下腹部疼痛、腹胀、充溢性尿失禁、肾积水等,当患有此疾病后,建议就医治疗。 1、排尿困难: 尿潴留通常是不能自然或者是充分排空膀胱内的尿液,可能是膀胱神经
2025-10-24 00:53:07

-
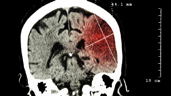
核磁共振与CT哪个危害大 提醒:3种情况 不建议做核磁共振
核磁共振和CT检查是现代医学影像诊断的两大"神器",但关于它们的辐射危害,各种说法让人眼花缭乱。今天我们就来掰开揉碎,看看这两种检查到底有什么区别,以及什么情况下需要谨慎选择。一、核磁共振VSCT:原
2025-10-24 00:52:01

-
激光反黑怎么快速消除
激光美容如今备受追捧,但不少人在激光治疗后出现了反黑现象,这可让爱美的人们犯了愁,还会严重影响皮肤的美观。激光反黑究竟该如何快速消除呢? 1、加强防晒:激光治疗后皮肤对紫外线更加敏感,若不做好防晒,
2025-10-24 00:50:56

-
肾结石尿血怎么办
肾结石尿血可以通过一般治疗、药物治疗,必要时也可以通过手术的方式进行处理。肾结石属于上尿路梗阻性疾病,通常与代谢异常、饮食不当等因素有关。 一、一般治疗 1.多喝水:如果症状比较轻微,并没有出现明
2025-10-24 00:49:50

-
六十多岁老人起肺大泡怎么办
六十多岁老人起肺大泡可以考虑肺体积减少术、肺大泡切除术、肺功能锻炼、氧疗等治疗措施。 1.肺体积减少术 肺体积减少术通过缩小肺部病变区域来改善通气功能,适用于肺大泡导致的呼吸困难。手术目标是移除受
2025-10-24 00:49:43

-
胸腔积液肺水肿处理方法是
胸腔积液和肺水肿是需要及时处理的医学情况,处理方法包括胸腔穿刺引流、使用利尿剂、糖皮质激素、吸氧治疗以及体位引流等。如果发现症状没有改善或者反而加重,务必尽早就医,获得专业的评估和治疗。 1、胸腔穿
2025-10-24 00:35:42

-
男性尿道痒痛怎么治疗 介绍治男性尿道痒的三个方法
男性尿道痒痛可通过保持局部清洁、药物治疗、调整生活习惯等方式缓解。尿道痒痛通常由尿道感染、尿道结石、过敏反应等原因引起。1、保持局部清洁: 尿道痒痛可能与局部卫生不良有关,需每日用温水清洗外阴部,避
2025-10-23 23:48:48

-
低烧迟迟不退 原因可能在这里
低烧迟迟不退可能与感染、慢性炎症、免疫系统疾病等多种原因相关,需根据具体情况进行针对性治疗。低烧通常指体温在37.3℃到38℃之间,持续时间超过一周时需要重视。 1、感染是低烧不退的常见原因。细菌、
2025-10-23 23:48:47

-
腰突椎管狭窄必须手术吗
腰椎间盘突出合并椎管狭窄并非必须手术,多数患者可通过保守治疗缓解症状,仅当出现进行性神经功能障碍或保守治疗无效时才需手术干预。 腰椎间盘突出合并椎管狭窄的治疗需根据病情严重程度选择方案。早期症状较轻
2025-10-23 23:47:37

-
强直性脊柱炎引发的疼痛如何影响生活 专家教你有效缓解策略
强直性脊柱炎常常导致肩膀和后背疼痛,这种疼痛可能源于疾病本身的特性,也可能与其他健康问题如肩周炎或颈椎病有关。强直性脊柱炎是一种慢性疾病,主要表现为骶髂关节和脊柱附着点的炎症。患者常常感到腰背部和颈部
2025-10-23 23:46:34

-
肾结石会有血尿吗
肾结石可能会有血尿,但具体是否会出现血尿需要根据具体情况判断。若为较小的肾结石或处于静止期,则通常不会出现血尿症状;若为较大的肾结石或处于活动期,则可能出现血尿。 一、可能没有 1.较小的肾结石:
2025-10-23 23:46:33

-
肠息肉怎样彻底治疗好
肠息肉要想彻底治疗好,需要综合考虑患者的具体情况,采取个性化的治疗方案。以下是一些建议: 1.手术切除:对于较大的息肉或疑似恶变的息肉,应及时进行手术切除。手术方法包括内镜下黏膜切除术、内镜黏膜下剥
2025-10-23 23:45:30

-
孕晚期总是腰酸背痛 快试试这6个好方法 帮你快速缓解
女性在怀孕期间总是很困难,尤其是随着肚子一天天长大,背痛越来越严重,严重影响孕妇的生活。怀孕期间感到背痛的原因首先与怀孕期间的激素水平有关,其次与怀孕期间的胃有关。背痛确实让女性在怀孕期间遭受了很多痛
2025-10-23 23:45:29

-
4岁室间隔缺损一定要手术吗
4岁室间隔缺损是否需要手术,取决于缺损的大小、症状的严重程度以及心脏功能的受影响情况。 1、缺损较小且无症状。若缺损直径小于5毫米,患儿无呼吸急促、喂养困难或发育迟缓等症状,通常无需手术。可以通过定
2025-10-23 23:44:27

-
普拉提入门 塑形健身新选择
随着生活水平不断的提高,多数女性对身材要求也较高,就拿我近期接诊的一位35岁的女性患者来说,她身材较为肥胖,她说自己刚生完孩子,对自己的身材很没有信心,听朋友说可以通过普拉提进行塑身,不知道这种方式可
2025-10-23 23:44:24

-
尿潜血阳性(+)严重吗
尿潜血阳性+可能是轻微炎症,也可能是潜在疾病的信号,建议及时就医以明确病因并采取治疗措施。现阶段,常见原因包括肾脏疾病、泌尿道感染、结石或外伤等,需根据具体病因采取药物、手术或生活方式调整等对策。
2025-10-23 23:44:24

-
尺神经损伤有哪些症状
尺神经位于上壁内侧,在肘关节附近进入前臂,很容易在手腕和肘部受伤,称为尺神经损伤。 尺神经损伤通常发生在刺伤、穿透和分裂后,分为急性损伤和慢性损伤。 慢性损伤通常是指肘管综合征,与慢性压迫或慢性摩
2025-10-23 23:43:22

-
为什么睡醒后腰酸背痛
睡醒后腰酸背痛可能与姿势不当、过度劳累、着凉、腰椎间盘突出症、脊髓炎等原因有关。 1、姿势不当: 如果睡觉姿势不当,导致局部受压时间过长,睡醒之后会有酸痛的感觉。可以适当做拉伸运动,如扩胸运动、靠
2025-10-23 23:43:20

-
半月板二度膝盖积液多久能恢复
半月板二度损伤伴随膝盖积液一般需要4-12周恢复,具体时间与损伤程度、康复措施等因素相关。 半月板二度损伤属于中度损伤,通常表现为膝关节疼痛、肿胀和活动受限。膝盖积液是关节滑膜对损伤的炎症反应,积液
2025-10-23 23:42:17

-
结核性胸膜炎好了以后要注意什么
结核性胸膜炎好了以后一般要注意保持良好的心态、定期随访、保持良好的生活习惯、避免传染他人、密切关注身体状况等。 1、保持良好的心态:结核性胸膜炎是一种严重的疾病,需要经过长期的抗结核治疗才能痊愈。病
2025-10-23 23:41:13

-
颈椎间盘突出不用枕头
颈椎间盘突出患者是否应该使用枕头,这是一个常见的疑问。其实,完全不用枕头并不是一个理想的选择,因为这可能会导致颈椎后方过度受力,反而加重症状。颈椎间盘突出是由于颈椎间盘退变、外伤或慢性损伤引起的,导致
2025-10-23 23:41:12

-
吃辣胃疼连着后背疼怎么办
吃辣后胃疼并连着后背疼,这种情况可能是辣椒刺激了胃黏膜,也可能是因为本身患有胃炎或胃溃疡等疾病。遇到这种情况,及时就医是非常重要的,医生会根据具体情况提供合适的治疗方案。 1、一般治疗:如果平时饮食
2025-10-23 23:40:04

-
胆结石可以吃红豆吗
胆结石患者是否可以吃红豆应根据具体的情况进行判断,如果不存在腹胀,通常可以吃红豆,反之则不可以吃红豆,患者除了要注意保持良好的饮食习惯,还要积极配合医生治疗。 遗传因素、环境因素等都有可能会引起胆结
2025-10-23 23:36:55

-
颈椎间盘突出导致咳嗽吗
颈椎间盘突出可能会导致咳嗽,咳嗽并不是判断颈椎间盘突出的标准,而是伴发呼吸道疾病的表现,如咽炎、支气管炎、肺炎、胸膜炎等。颈椎间盘突出是指颈椎间盘的髓核、部分纤维环向周围组织突出,压迫颈部神经或血管,
2025-10-23 23:35:52

-
脑脓肿有什么症状和治疗方法
脑脓肿的症状主要包括头痛、发热、神经系统功能障碍等,治疗方法有抗生素治疗、手术引流等。脑脓肿通常由细菌感染、真菌感染、中耳炎扩散、鼻窦炎扩散、外伤感染等原因引起,可通过药物治疗、手术治疗、对症支持治疗
2025-10-23 23:35:52