
-
15岁胃癌晚期可以吃辣吗
通常情况下,15岁的患者如果处于胃癌晚期,则不建议食用辛辣食物。因为此时患者的胃肠功能已经受到严重损害,并且身体免疫力也会下降。 在临床上,胃癌是一种恶性肿瘤疾病,在发病早期一般没有明显的症状表现,
2025-11-09 16:16:10

-
扁桃体淋巴瘤是良性吗 良性淋巴瘤的症状有哪些
我们经常听到扁桃体炎症这个词。 我们周围的朋友或许多人都患有这种疾病,但扁桃体也会有淋巴瘤。 扁桃体淋巴瘤是良性的吗?良性淋巴瘤的症状是什么?扁桃体淋巴瘤是良性的吗?扁桃体淋巴瘤是我国常见的恶性肿
2025-11-09 16:15:05

-
甲状腺癌术后tsh抑制安全值是多少
甲状腺癌手术后tsh的安全值是不确定的,对于低复发风险患者,安全值应该在0.5以上。风险适中,安全值可以控制在0.1~0.5之间。高风险患者安全值需要控制在0.1以下。 甲状腺癌可以在医生指导下给予
2025-11-09 15:12:56

-
胶质瘤是什么肿瘤
胶质瘤是一种起源于脑神经胶质细胞的肿瘤,是最常见的原发性颅内肿瘤。下面将从定义、特点、治疗及药物等方面对胶质瘤进行详细说明。 胶质瘤由脑神经胶质细胞发生恶变而来,这些胶质细胞包括星形细胞、少突胶质细
2025-11-09 15:11:46

-
CEA升高多少需考虑肿瘤
CEA是一个常被提及的指标,在医学上一般称为癌胚抗原,其变化往往与肿瘤的发生、发展密切相关。那么,当癌胚抗原升高时,我们究竟应该如何看待这一变化?又该如何判断是否需要进一步考虑肿瘤的可能性呢? 今天
2025-11-09 15:11:45

-
胃癌的药物状况
胃癌是起源于胃黏膜上皮细胞的一种恶性肿瘤,在临床上比较常见。对于早期胃癌患者而言,手术切除是最主要、最有效的治疗手段之一。 在进行手术后,需要根据患者的病情以及病理类型来选择合适的辅助治疗方法,如化
2025-11-09 15:10:45

-
黑色素肿瘤能治愈吗 真相是...
不久前,我得知了朋友的遭遇。他原本是一个阳光开朗的年轻人,但最近却因为一颗不断增大的黑色素痣而忧心忡忡。 这颗痣原本只是一个小点,但随着时间的推移,它逐渐变大、变黑,并伴有轻微的疼痛和瘙痒。朋友开始
2025-11-09 15:06:25

-
肝癌骨转移该怎么治疗
肝癌骨转移可通过放疗、化疗、靶向治疗等方式进行治疗,但具体治疗方法需要根据患者自身情况以及病情严重程度等综合因素来判断。 1.放疗:肝癌骨转移后,如果出现明显的疼痛症状,可遵医嘱使用放射性核素进行局
2025-11-09 15:06:24

-
甲状腺癌半边全切大概多少钱
甲状腺癌半边全切,一般需要5000-10000元,具体的价格根据医院、地区不同,会存在一定的差异。建议前往当地正规医院做相关检查,并咨询相关医生的建议。 1、医院:甲状腺癌半边全切手术在三级甲等医院
2025-11-09 15:04:14

-
放疗后引起的水肿 如何可以消肿
放疗后引起的水肿,可以通过营养支持、适当活动、局部护理、口服药物、手术治疗等方式消肿,如果症状持续不能减退,一定要及时就医,以免延误病情。 1、营养支持: 可以给患者提供均衡的饮食,补充患者所需的
2025-11-09 15:03:11

-
通关藤口服液主治什么
通关藤口服液也叫做消癌平口服液,主治食道癌、胃癌、肝癌、大肠癌、宫颈癌以及白血病等多种恶性疾病。也可以用于治疗慢性支气管炎以及支气管哮喘。 消癌平口服液是一种中成药,主要是由通关藤组成,药品类型为抗
2025-11-09 14:01:02

-
胰腺占位病变是癌症吗
胰腺占位病变是指在胰腺组织内出现的异常增生的物质,它可能由多种原因引起,包括但不限于炎症、囊肿、良性肿瘤以及恶性肿瘤。因此,不能单纯地将胰腺占位病变与癌症划等号。 下面详细解释几种可能导致胰腺占位的
2025-11-09 13:59:57

-
骨巨细胞瘤做完手术还会不会复发
骨巨细胞瘤手术后是否会复发,这个问题的答案并不是简单的“是”或“否”。复发的可能性主要取决于肿瘤的组织学分级和手术的彻底性。一般来说,低度恶性的骨巨细胞瘤更容易被彻底治愈,复发率较低,而高度恶性的肿瘤
2025-11-09 13:58:46

-
结肠癌转移胰尾是怎么回事
结肠癌是常见的消化道恶性肿瘤,患者常表现为腹痛、腹泻等症状。如果出现上述症状,则需要考虑是否存在其他部位发生转移的情况。 1、原因:结肠癌是一种发生在直肠和乙状结肠之间的癌症,在早期通常没有明显的临
2025-11-09 13:56:38

-
淋巴瘤早期症状与治疗能活多久呢
淋巴瘤是一种起源于淋巴造血系统的恶性肿瘤,主要表现为无痛性、进行性的淋巴结肿大。患者通常在疾病初期没有明显的临床表现,在疾病的进展期会出现发热、盗汗等症状。 1、淋巴瘤早期的症状:大多数情况下,淋巴
2025-11-09 13:54:32

-
乳腺癌可以吃丝瓜吗
乳腺癌的患者是可以吃丝瓜的。丝瓜不但容易消化和吸收,而且丝瓜当中也含有维生素、氨基酸等营养成分,对乳腺癌病情的好转有一定的帮助。 患有乳腺癌的患者除了可以吃丝瓜以外,也可以吃一些茄子、西红柿等蔬菜,
2025-11-09 13:53:26

-
直肠癌腺癌是什么癌症
直肠癌腺癌是一种起源于直肠腺体组织的恶性肿瘤,也是直肠癌中最常见的类型,属于消化系统癌症之一。其主要病因涉及遗传、环境、生活习惯及直肠慢性疾病等多种因素,可通过早期筛查与科学干预进行防控。 1、遗传
2025-11-09 13:53:25

-
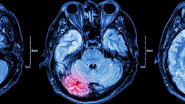
做头颅CT检查能确诊脑癌吗
头颅CT检查通常不能直接确诊脑癌,但可作为初步筛查手段。脑癌的确诊需要结合病理活检、核磁共振成像、肿瘤标志物检测、临床症状评估以及多学科会诊等综合判断。 头颅CT能清晰显示脑部结构异常,如占位性病变
2025-11-09 13:52:24

-
怎么排除早期淋巴癌
淋巴瘤是淋巴瘤。早期淋巴瘤一般可通过临床症状、实验室检查、影像学检查等方法排除。建议患者及时就医,在医生指导下完善相关检查,明确诊断后进行针对性治疗。 1、临床症状:早期淋巴瘤通常出现无痛淋巴结肿大
2025-11-09 13:52:22

-
肾肿瘤良性严重吗能活多久
肾肿瘤若为良性,通常威胁性较低,对寿命影响有限,大多数患者经过合理治疗可长期生存甚至痊愈,但需根据肿瘤类型、大小、位置决定具体处理方案。常见的良性肾肿瘤包括肾血管肌脂瘤、肾囊肿和良性肾腺瘤,其中血管肌
2025-11-09 13:52:22

-
肺癌鳞状细胞癌 已有转移扩散症状该怎么办
肺癌鳞状细胞癌出现转移扩散的症状时,需要及时进行治疗。一般可以通过手术、放疗化疗等方式来控制病情发展。 一、原因 1.生长迅速:肺癌鳞状细胞癌是一种恶性程度较高的肿瘤,其生长速度较快,在早期阶段就
2025-11-09 13:48:05

-
尺神经炎吃什么效果最好
尺神经炎吃什么效果最好?临床上没有说尺神经炎有最好的疗效。 通常,尺神经炎可以在医生的指导下服用甲钴胺片、塞来昔布胶囊、阿莫西林胶囊等药物进行治疗。 1、甲钴胺片:它是一种常见的临床辅酶药物,主要
2025-11-09 13:37:15

-
甲状腺癌单侧切除后饮食需注意什么
甲状腺癌是临床上较常见的内分泌肿瘤,单侧切除术后的饮食注意事项,通常包括避免进食辛辣、刺激性食物,以及避免进食过多含碘食物。 1、避免进食辛辣、刺激性食物:比如辣椒、花椒、胡椒等,此类食物易刺激伤口
2025-11-09 13:36:09

-
克唑替尼靶向药一盒多少钱
我曾遇到一位患者,他因为持续的咳嗽、胸闷、乏力以及偶然发现的肺部阴影来到了我的诊室,我建议他进行全面的医学检查以明确病因。检查结果显示,患者肺部存在一个大小约3cm的肿瘤,病理分析确认为ALK阳性的非
2025-11-09 12:47:02

-
藏在体内的神奇“脂肪瘤” 4种情况可考虑手术切除
洗澡或按摩时,你可能会感觉到身体上的小肿块,感觉不到疼痛和瘙痒,按压时可以移动,这很可能是脂肪瘤。脂肪瘤是一种软组织肿瘤,通常是由成熟的脂肪组织过度增生引起的。当人们看到“肿瘤”这个词时,他们害怕危及
2025-11-09 12:47:01