
-
早期食道癌放化疗后两星期特别疼痛正常吗
早期食道癌患者进行放疗、化疗后2周出现明显疼痛症状,通常属于不正常现象。可能由于肿瘤复发导致的局部侵犯或转移引起,也可能与药物不良反应有关。 一、肿瘤复发 1.局部侵犯:如果在进行放化疗时,肿瘤没
2025-10-25 20:38:30

-
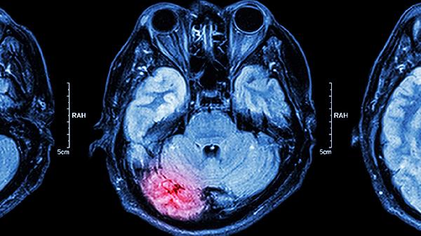
大脑肿瘤可以治好吗
大脑肿瘤是可以治疗的,但治疗效果受到肿瘤类型、位置、大小及患者整体健康状况等多种因素的影响,如果怀疑自己或家人患有大脑肿瘤,请尽早就医。 大脑肿瘤分为良性和恶性两大类。良性肿瘤通常生长较慢,边界清晰
2025-10-25 20:38:25

-
鼻咽癌五年后耳朵堵是什么回事
鼻咽癌是一种恶性肿瘤,发生在鼻咽部位,常常会侵犯周围的组织和器官。在治疗鼻咽癌后,患者可能会出现一些不适症状,如耳朵堵塞感。这种感觉可能会持续数年,甚至可能是永久性的。 耳朵堵塞感是由于鼻咽癌治疗过
2025-10-25 20:37:23

-
早期脑肿瘤可以治愈吗 如何根除早期脑肿瘤
早期脑肿瘤有可能治愈,具体与肿瘤类型、位置及治疗时机有关。根除方法主要有手术切除、放射治疗、化学治疗、靶向治疗、免疫治疗等。建议尽早就医评估,制定个体化方案。1、手术切除 手术是早期脑肿瘤首选治疗方
2025-10-25 20:35:12

-
恶性淋巴瘤晚期的症状
恶性淋巴瘤是一种起源于淋巴造血系统的肿瘤,可发生于身体任何部位。由于其生长速度较快、侵袭性强等特点,在早期时通常无明显症状或体征。 但随着病情进展,患者可能会出现以下几种常见的临床表现: 1、发热
2025-10-25 19:44:55

-
脑肿瘤术后能活多长时间
脑肿瘤术后的生存期取决于肿瘤类型、分期、手术效果及术后治疗等多种因素,良性肿瘤患者通常预后良好,恶性肿瘤患者的生存期差异较大,需结合个体情况评估。通过规范治疗和积极康复,可以延长生存期并提高生活质量。
2025-10-25 19:42:48

-
中分化鳞状细胞癌什么病
前不久,我接诊了一位中年男性患者,他因长期吸烟和饮酒,口腔内出现了一块持续增大的溃疡。经过详细的检查和病理活检,最终确诊为口腔中分化鳞状细胞癌。这位患者初期并未引起足够的重视,但随着病情的进展,溃疡面
2025-10-25 19:41:41

-
胰腺肿瘤穿刺会对肿瘤不利吗
胰腺肿瘤穿刺会对肿瘤不利吗? 1、胰腺肿瘤穿刺一般不利于肿瘤,保持良好的心态,积极配合医生检查。 2、胰腺肿瘤是一种更严重的疾病,在治疗过程中通常需要穿刺,穿刺是一种更常见的临床诊断方法,可以通过
2025-10-25 19:41:40

-
怎么判断淋巴癌复发了没有
淋巴癌复发一般指淋巴瘤复发,判断淋巴瘤复发了没有可以通过临床症状、影像学检查、病理学检查等方式进行判断。如果确诊为淋巴瘤复发,建议患者及时就医治疗。 1.临床症状:淋巴瘤是一种起源于淋巴造血系统的恶
2025-10-25 19:39:30

-
肺癌晚期能否治愈精神还好
肺癌是起源于肺部支气管黏膜或腺体的常见恶性肿瘤。肺癌晚期患者是否能治愈、精神状态如何需要根据具体情况判断。 一、可以治愈的情况 1.小细胞肺癌:如果患者的病情比较轻微,并且没有出现明显的不适症状,
2025-10-25 19:35:13

-
甲状腺癌半切低危抑制是什么
甲状腺癌患者如果是进行甲状腺癌半切加淋巴结清扫,出现低危抑制,通常是指淋巴结转移的风险较低,说明手术治疗效果较好,但并不代表没有复发风险,可能是患者身体较弱、病情较重、手术治疗效果不佳导致。 1、身
2025-10-25 19:33:07

-
肝癌晚期病人有哪些表现
肝癌晚期的病人会出现肝区的疼痛、腹胀、消瘦、乏力,还有患者会低热、黄疸、腹泻、上消化道出血,肝癌破后也会肝大、肝腹水、男性乳腺增大、下肢水肿等。 肝癌晚期的治疗主要包括手术治疗、介入治疗、免疫治疗和
2025-10-25 19:32:02

-
怎么判断肠癌是否转移
肠癌是指发生在直肠和结肠部位的一种恶性肿瘤,患者一般会出现腹痛、便血等症状。如果怀疑有肠癌出现,则需要及时到医院进行检查来明确诊断,并且根据具体情况进行治疗。 1、症状:如果是早期肠癌,在没有发生远
2025-10-25 19:29:55

-
胃癌的危害有哪些
胃癌是起源于胃黏膜上皮细胞的一种恶性肿瘤,属于消化道常见的恶性肿瘤之一。早期症状多不明显或仅表现为非特异性表现如食欲减退、恶心呕吐等。 1、影响生活质量:由于胃癌患者会出现明显的疼痛感以及腹胀等症状
2025-10-25 19:28:47

-
甲状腺癌刀疤怎么遮挡
甲状腺癌手术后刀疤的遮挡,通常可以选择使用化妆品、衣服、纹身等方式进行遮盖。但如果想要彻底消除刀疤,建议前往医院咨询医生,在医生指导下选择合适的治疗方式。 1、使用化妆品:患者可以购买一些具有遮瑕效
2025-10-25 19:26:32

-
体重对放疗影响大吗
放疗指的是放射治疗,体重对放射治疗一般影响不大。如果想要进行放射治疗,需要去正规医疗机构。 放射治疗主要是利用放射线对局部进行照射,能够杀灭或根治局部肿瘤的原发灶或者是转移灶,还可以控制癌细胞生长,
2025-10-25 19:24:26

-
肝癌中晚期不能手术了
肝癌中晚期是指肝癌已经发展到中期或者晚期,此时患者一般不能进行手术治疗。因为肝癌的恶性程度较高,如果肿瘤体积较大,则无法通过手术切除。 肝癌是一种常见的消化系统恶性肿瘤,其发病原因与乙型肝炎病毒感染
2025-10-25 19:22:17

-
膝盖长软骨瘤什么检查更明确
膝盖长软骨瘤的确诊可以通过多种影像学检查实现,包括X线、MRI、CT、超声和关节镜检查。这些检查可以帮助医生更清晰地了解软骨瘤的具体情况,从而制定合适的治疗方案。及时就医并在专业医生的指导下选择合适的
2025-10-25 18:21:11

-
肺癌咳痰什么颜色
肺癌患者咳痰的颜色多样。早期肺癌可能是白色泡沫样痰,和普通呼吸道疾病的痰液相似。如果肺癌合并感染,痰的颜色会发黄、发绿,质地也可能变得浓稠。当肺癌侵犯血管导致出血时,会出现血痰,颜色可以是痰中带血丝,
2025-10-25 18:15:45

-
西医治疗肾上腺恶性肿瘤的常规方法
西医治疗肾上腺恶性肿瘤的常规方法: 1.补充糖皮质激素。如有意识障碍和休克,应立即检查氢化松琥珀酸钠酯100mg静脉注入溶解在少量液体中,是一种水溶性制剂,吸收快,能迅速进入体内,产生即时短暂的改善
2025-10-25 18:09:20

-
良性肿瘤和恶性肿瘤的鉴别要点
良性肿瘤和恶性肿瘤的鉴别要点主要包括生长速度、侵袭性、转移性和组织学特征。良性肿瘤生长缓慢,边界清晰,不侵袭周围组织,不转移;恶性肿瘤生长迅速,边界不清,侵袭性强,易转移。通过影像学检查、组织活检和病
2025-10-25 17:08:17

-
化疗期间以及化疗后需要注意什么
化疗是治疗恶性肿瘤的重要手段,但它也伴随着一些副作用。在化疗期间及之后,患者需要特别注意一些事项,以便更好地应对治疗过程,并促进身体恢复。饮食方面需要多加注意。患者应多摄入新鲜蔬菜和水果,以及优质蛋白
2025-10-25 17:08:14

-
脑膜瘤手术的并发症有哪些
脑膜瘤手术可能出现的并发症主要有脑脊液漏、颅内感染、神经功能损伤、癫痫发作、脑水肿等。手术方式与个体差异会影响并发症发生概率,需严格遵循术后护理规范。 脑脊液漏多因术中硬脑膜闭合不全导致,表现为鼻腔
2025-10-25 17:05:02

-
喉癌和食道癌的区别
喉癌与食道癌是两种不同的癌症类型,它们在起因、症状、诊断和治疗上都有所不同。 喉癌主要发生在喉咙内部,而食道癌则发生于食管内。喉癌通常包括声带癌、会厌癌等不同类型,而食道癌则是指食管黏膜细胞恶性增生
2025-10-25 17:03:58

-
癌转移淋巴结不超过3个 意味着什么
曾接诊过一位肺癌患者,他在初次就诊时,虽然肺部肿瘤尚属可控范围,但淋巴结活检结果却显示已有癌细胞转移。由于发现及时,我们立即为他制定了针对性的治疗方案,包括手术、化疗和放疗等综合手段。 幸运的是,经
2025-10-25 17:03:56