
-
“饭后散步”错了 医生忠告:过了60岁 走路要尽量注意这4点
饭后百步走,活到九十九?这个流传千年的养生谚语可能正在悄悄坑害你的膝盖!最近康复科医生发现,很多中老年人坚持的"健康习惯",反而成了关节疼痛的罪魁祸首。特别是60岁后的朋友,走路方式真的需要更新换代了
2025-11-03 04:53:28

-
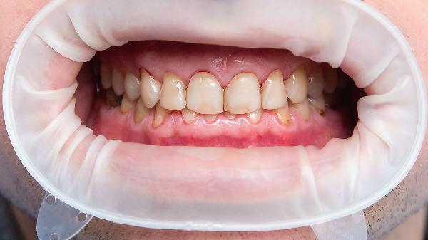
牙龈上长了个白色脓包怎么治
牙龈上出现白色脓包通常由牙周脓肿或根尖周炎引起,可通过切开引流、根管治疗、抗生素治疗、局部冲洗、手术切除等方式处理。牙龈脓包多与细菌感染、龋齿、牙外伤、牙周病、免疫力下降等因素相关,常伴随牙龈红肿、疼
2025-11-03 04:52:27

-
体检检查肾结石
通常情况下,体检发现有肾结石但无明显症状时,患者无需过于担心。此时应积极配合医生进行治疗,并定期复查。 1、原因:肾结石是由于尿液中钙盐或草酸等物质浓度过高而析出形成的固体结晶物,在肾脏内沉积后可形
2025-11-03 04:52:25

-
人体免疫缺陷病毒是什么
人体免疫缺陷病毒通常是指人类免疫缺陷病毒,是一种单链RNA病毒,感染后需要及时就医治疗。 人类免疫缺陷病毒主要可分为HIV-1和HIV-2两个型,具有传染性,可以通过性接触、血液、母婴等途径传播,感
2025-11-03 04:52:24

-
艾滋病感染 几天内会有感觉
我曾遇到过一位年轻男性患者,他在一次高危性行为后非常担心自己是否感染了艾滋病。他迫切地想要知道,如果感染了,几天内是否会有感觉。本文我将来为大家揭示这个问题的真相。 艾滋病病毒感染后,可能需要1~6
2025-11-03 04:52:23

-
前列腺偏大是什么意思
前列腺偏大通常是指前列腺体积超过正常范围,可能与良性前列腺增生、前列腺炎、前列腺囊肿等因素有关。前列腺是男性生殖系统的一部分,位于膀胱下方,环绕尿道,主要功能是分泌前列腺液。前列腺偏大可能由年龄增长、
2025-11-03 04:51:22

-
生气引起的胸闷气短怎么办
生气引起的胸闷气短可通过情绪调节、深呼吸练习、适度运动、穴位按摩、药物治疗等方式缓解。胸闷气短通常由情绪波动、自主神经紊乱、潜在心肺疾病等因素引起。1、情绪调节 情绪激动时交感神经过度兴奋会导致呼吸
2025-11-03 04:51:20

-
板蓝根抑制血小板凝聚
板蓝根以其清热解毒、凉血利咽的特性在中医中广泛应用,尤其在处理外感风热引起的感冒时,效果颇佳。但如果涉及到血小板凝聚的问题,板蓝根并不是首选。血小板凝聚通常与血液系统或免疫系统疾病有关,而板蓝根并没有
2025-11-03 04:51:19

-
晚上睡觉鼻子交替性堵塞
晚上睡觉时鼻子出现交替性堵塞,是许多人可能遇到的问题。这种现象通常由多种因素引起,包括生理性变化、过敏反应以及慢性鼻炎等。了解这些原因,并采取相应的应对措施,有助于改善夜间呼吸质量。 生理性因素是导
2025-11-03 04:50:18

-
拔牙之后感觉里面还有牙齿
拔牙之后感觉里面还有牙齿的原因有空洞感、邻牙移动、神经反应以及牙根残留等。 拔牙后形成的牙槽空洞会让患者产生牙齿仍在的错觉。随着时间的推移,周围组织会逐渐填补这个空洞,这种感觉也会自然减轻。 邻近
2025-11-03 04:50:17

-
开塞露可以抹嘴唇裂口吗
开塞露一般可以用于涂抹嘴唇裂口。 开塞露主要成分是甘油,甘油具有很强的吸水性,可以从空气中吸收水分,也可以从皮肤深层吸收水分,然后在皮肤表面形成一层保护膜,防止水分流失,这对于嘴唇裂口能起到滋润的作
2025-11-03 04:50:16

-
小儿吃了中药腹泻怎么办
小儿吃了中药腹泻的处理方法要根据腹泻程度来决定,轻度腹泻不需要做特殊处理,注意多喝些水就可以;腹泻严重的,可以服用蒙脱石散等止泻药物来治疗。 腹泻期间饮食上应该要多吃些好消化的食物,这样可以避免加重
2025-11-03 04:50:15

-
最低近视度是多少度
最低近视度通常为-0.25屈光度,这是眼科医生检测视力时可以测量到的最轻微近视程度。近视度数不同程度会影响视力,轻度近视可以通过改善用眼习惯进行缓解,而更高的近视则可能需要其他干预措施。 1、近视的
2025-11-03 04:50:14

-
肌酐127算高吗怎么治疗
肌酐127属于轻度升高,可能与肾功能受损、脱水或药物影响有关,需结合其他指标和病史综合评估,建议调整饮食、避免肾毒性药物,必要时就医进一步检查。 1. 肌酐是反映肾功能的指标,正常范围因年龄、性别和
2025-11-03 04:50:14

-
膏药过期了还能用吗
膏药过期了一般不能用了,以免对身体造成不利影响。当身体出现不适症状后,建议及时就医,遵医嘱用药。 膏药属于临床比较常用的一种外用药,主要包括中药膏药和西药膏药,应用后其中的药物成分能够透入皮肤,发挥
2025-11-03 04:50:12

-
输尿管结石手术后疼痛怎么办
通常情况下,患者在进行输尿管结石术后出现疼痛的情况时可以采取一般治疗、药物治疗和物理治疗的方式缓解症状。如果情况比较严重,则需要及时就医。 1、一般治疗:建议患者多喝水,并且适当运动促进排石,同时避
2025-11-03 04:49:12

-
利巴韦林和更昔洛韦哪个效果好
并不存在利巴韦林和更昔洛韦哪个效果好的这种说法,因为两种药物无法作出比较,身体出现不适后,需要及时就医。 利巴韦林属于常见的抗病毒药,剂型包括片剂、胶囊剂、分散片剂以及注射剂等,可以用于治疗支气管炎
2025-11-03 04:49:12

-
月经期间能不能吃草莓
草莓是一种营养丰富的水果,富含维生素C、膳食纤维和多种矿物质,对人体健康有诸多益处。在月经期间,女性身体较为虚弱,适量食用草莓有助于补充营养,提高免疫力。然而,月经期间食用草莓也需要注意以下几点:
2025-11-03 04:49:12

-
什么原因影响了不孕检查费用 女性不孕检查的费用是多少
女性不孕症检查多少钱?事实上,在不同的地区和医院,不孕症检查的费用也有所不同。因此,这里小边为您介绍的只是基本的不孕症检查费用,仅供您参考哦。女性不孕检查费用通过分泌物检测、宫颈粘液评估、超声影像检查
2025-11-03 04:49:11

-
有结节的人能喝蛋白粉吗
有结节的人可以适量喝蛋白粉,但需根据结节类型和身体状况谨慎选择,并在医生指导下进行。结节的形成与遗传、环境、生理因素、外伤或病理有关,蛋白粉的摄入需考虑对结节的影响,避免加重病情。 1、结节的形成原
2025-11-03 04:49:11

-
早泄怎么调理 80%的早泄患者需要调心
早泄可通过心理疏导、行为训练、药物治疗、生活方式调整、中医调理等方式改善。早泄可能与心理压力、阴茎敏感度过高、前列腺炎、甲状腺功能异常、神经系统病变等因素有关。1、心理疏导 早泄患者常伴有焦虑、紧张
2025-11-03 04:49:11

-
儿童抽动症可以治愈吗
儿童抽动症是指小儿抽动秽语综合征。小儿抽动秽语综合征是否可以治愈应根据具体情况判断,如果患病较轻,通常可以治愈,如果患病较重,则不可以治愈。无论是否可以治愈,都要积极配合医生治疗。1、可以治愈: 小
2025-11-03 04:49:10

-
眼睛干涩易流泪是什么原因
眼睛干涩易流泪的原因可能涉及多个方面,如用眼过度、干眼症、结膜炎等,患者要及时就诊,并遵医嘱使用药物进行治疗。 1、用眼过度:长时间使用电子产品、阅读、写作等,以及长期佩戴隐形眼镜,都可能导致眼睛干
2025-11-03 04:49:09

-
新生儿喝完奶不睡觉眼睛看来看去怎么回事怎么办
新生儿喝完奶不睡觉眼睛看来看去一般是睡眠时间过长、环境因素、喂奶量过多、缺钙、功能性消化不良等原因引起的,需要去医院查明原因后通过加强生活管理、按摩、药物治疗等方法改善。1、睡眠时间过长: 如果新生
2025-11-03 04:48:09

-
长期便秘会引发附件炎吗 如何检查确诊
长期便秘会引发附件炎吗 女性子宫、输卵管、卵巢等内生殖器官位于骨盆腔中,前面邻近膀胱,后面及侧面与肠管靠近,尤其是右侧输卵管与阑尾和盲肠为邻,左侧输卵管与乙状结肠和直肠为邻,这也是输卵管炎较常发作的
2025-11-03 04:48:08