
-
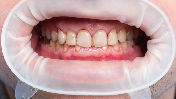
牙齿拔了不种牙空着行吗
在许多情况下,牙齿拔了不种牙空着是可行的,但这取决于多种因素。以下是对此问题的详细解答。 如果拔除的是智齿,通常无需种植。智齿在口腔中的作用有限,拔除后不会对咀嚼功能或美观造成显著影响。 患者的身
2025-10-22 22:31:31

-
牙龈肿半年了还不消怎么回事 怎么办
牙龈肿半年了还不消可能由牙周炎、牙龈增生、龋齿、牙髓炎、免疫系统疾病等原因引起,可通过牙周治疗、药物治疗、根管治疗、手术切除、免疫调节等方式治疗。1、牙周炎: 牙周炎是牙龈长期肿胀的常见原因之一,主
2025-10-22 22:31:31

-
血压155/84严重吗
正常血压范围为(90-120)/(60-80)mmHg,如果在平静状态下反复测量至少2次以上均高于140/90mmHg,即可诊断为高血压(轻度)。血压155/84mmHg即收缩压(高压)155mmHg
2025-10-22 22:31:30

-
1岁宝宝自闭症 了解症状尽早干预
自闭症,这个在近年来越来越受到社会关注的神经发育障碍,其早期症状往往在孩子很小的时候就已显现。对于1岁的宝宝来说,自闭症的表现可能并不明显,但家长若能细心观察,仍能从一些细微之处捕捉到它的影子。那么,
2025-10-22 22:30:29

-
经常掉头发的人平常要多吃什么食物
经常掉头发的人应多摄入富含蛋白质、铁、锌和维生素的食物,如鸡蛋、瘦肉、菠菜和坚果。掉头发的原因多样,包括营养不良、压力大、激素失衡等,通过调整饮食结构可以有效改善这一状况。 1.蛋白质是头发的主要成
2025-10-22 22:30:27

-
量体温多久量一次
体温多久量一次,需要结合具体的情况。若没有发热的症状,一天量两次体温即可。若有发热且体温处在上升期或体温下降期,需每间隔20分钟~30分钟量一次。若处在体温相对平稳期,每间隔2~3小时量一次即可。具体
2025-10-22 22:30:26

-
出虚汗头晕是什么原因
出虚汗头晕考虑可能是低血糖症、低钾血症、植物神经紊乱、缺铁性贫血、脑缺血等原因引起的,应根据不同原因做针对性处理。1、低血糖症: 此疾病通常是由于能量摄入不足、能量消耗过多等原因导致的,会使体内的血
2025-10-22 22:30:25

-
硝苯地平是钙通道阻滞剂吗
硝苯地平确实属于钙通道阻滞剂,这是一类能够阻止钙离子进入细胞内,从而降低细胞内钙离子浓度的药物。 硝苯地平的作用机制主要是通过抑制钙离子跨膜流入心肌或平滑肌,从而降低血管阻力,扩张血管,特别是冠状动
2025-10-22 22:30:25

-
骨质增生不可以吃什么食物好
骨质增生患者在饮食上应避免高嘌呤、高脂肪和高盐食物,减少炎症和关节负担,选择富含钙、维生素D和抗氧化物的食物,有助于缓解症状。 1、避免高嘌呤食物 嘌呤代谢产物尿酸会加重关节炎症,骨质增生患者应减
2025-10-22 22:30:25

-
什么是喉血管瘤
喉血管瘤是一种较少见的良性肿瘤,主要分为毛细血管瘤和海绵状血管瘤两个类型,其中毛细血管瘤最为常见。这种肿瘤由成群的薄壁血管构成,间有少许结缔组织,如果纤维组织较多,则称为纤维血管瘤。海绵状血管瘤则由窦
2025-10-22 22:29:26

-
甲状腺癌半切复发的原因是什么
甲状腺癌属于常见的甲状腺恶性肿瘤,甲状腺癌半切是指甲状腺进行半切手术,术后出现复发高峰,可能的原因包括手术残留、淋巴结转移、癌细胞增殖、碘摄入异常。甲状腺癌半切手术是在保留甲状腺功能的情况下,将甲状腺
2025-10-22 22:29:23

-
硫磺皂的作用与功效
硫磺皂的作用一般是清洁、控油、抑菌、除螨虫、缓解瘙痒等,如果身体产生明显不适,建议及时就医。1、清洁: 硫磺皂的主要成分是硫磺,这种物质有助于溶解角质、软化表皮,因此对皮肤清洁有很好的效果。2、控油
2025-10-22 22:29:23

-
吃什么东西可以预防卵巢早衰
预防卵巢早衰可以通过摄入富含抗氧化剂、维生素和矿物质的食物来实现。均衡饮食中应包含豆类、坚果、深海鱼等,同时避免高糖、高脂肪食品。 1.豆类食品如黄豆、黑豆富含大豆异黄酮,这种植物雌激素有助于调节女
2025-10-22 22:29:23

-
抑郁症忽好忽坏的原因是什么
抑郁症症状波动可能由遗传因素、环境压力、神经递质失衡、季节变化、药物依从性差等原因引起,可通过心理治疗、药物调整、光照疗法、社会支持、规律作息等方式干预。1、遗传因素 家族遗传史可能影响抑郁症的病程
2025-10-22 22:29:23

-
连续发烧三天了反反复复的怎么办
连续三天反复发烧,可能是由多种原因导致的。在面对这种情况时,我们首先需要了解可能的原因,然后采取相应的应对措施。 首先,反复发烧可能与免疫力低下有关。当身体免疫力不足时,抗病能力减弱,容易导致病情反
2025-10-22 22:29:22

-
男性肚脐眼中间痛什么原因
男性肚脐眼中间痛可能是肠痉挛、精索静脉曲张、肠炎、阑尾炎、肠梗阻等导致的。建议及时就医,可在医生指导下给予针对性的一般治疗、药物治疗、手术治疗。具体如下: 1、肠痉挛:是指肠道肌肉发生异常收缩,导致
2025-10-22 22:29:22

-
前列腺增生能下尿管吗
前列腺增生可以通过下尿管来暂时缓解尿滞留的问题,但这只是应急措施,建议尽早就医接受规范治疗。 前列腺增生是一种老年男性常见的良性疾病,随着年龄增长,前列腺组织增大压迫尿道,导致排尿困难。部分患者可能
2025-10-22 22:29:22

-
如何检查早泄 4项检查轻松辨别早泄
早泄可通过体格检查、实验室检查、心理评估、神经电生理检查等4项检查辨别。早泄可能由心理因素、前列腺炎、甲状腺功能异常、神经传导异常、龟头敏感度过高等原因引起。1、体格检查 体格检查是诊断早泄的基础项
2025-10-22 22:29:22

-
山核桃吃多了会怎样
山核桃作为一种营养丰富的坚果,深受大众喜爱。然而,任何食物都不应过量食用,山核桃也不例外。过量食用山核桃可能会引发一系列健康问题,主要体现在加重胃肠负担、导致肥胖以及增加高脂血症的风险。 首先,山核
2025-10-22 22:28:19

-
iga肾炎只有血尿
IgA肾炎只有血尿,可能是由于病情较轻、治疗效果较好等原因导致的。建议患者及时就医,在医生指导下进行针对性治疗。 1、病情较轻:IgA肾炎是一种以IgA或IgA沉积为主要特征的疾病,是临床上常见的原
2025-10-22 22:28:18

-
引起腹水的四大原因是什么
腹水指临床上的腹腔积液。引起腹腔积液的主要原因有肝脏疾病、心血管疾病、腹膜疾病、肾脏疾病等,可在医生指导下选择呋塞米、螺内酯、白蛋白等药物改善腹腔积液症状,并针对病因进行治疗,具体如下: 1、肝脏疾
2025-10-22 22:28:18

-
含维生素D的食物有哪些
维生素D对于我们的身体至关重要,它在维持骨骼健康、增强免疫力等方面都发挥着关键作用。那么,哪些食物富含维生素D呢?让我们一起来探索。 1、蛋黄:蛋黄中含有一定量的维生素D,而且还富含蛋白质、脂肪、维
2025-10-22 22:28:17

-
高钙血症症状
高钙血症的症状通常有注意力不集中、嗜睡、血压增高、心动过缓、心律失常、厌食、恶心、呕吐、多尿、肾小球滤过功能下降。 高钙血症的形成原因考虑与内分泌异常、药物因素等相关,是指血钙水平超过正常值(即2.
2025-10-22 22:27:16

-
婴儿脸上有红色的小点点怎么去掉
我记得在前一段时间坐诊时,一位家长抱着他5个月大的宝宝来医院就诊,我发现这位宝宝的脸上有好多小红丘疹,家长诉说这种小红丘疹在5天前开始长,现在越长越多,而且宝宝还出现了异常哭闹的情况,这位家长不知道怎
2025-10-22 22:27:15

-
为什么会有肚子疼痛的原因
患者肚子疼痛的原因比较多,包括胆道系统的相关疾病、胃肠的疾病等。 1、胆道系统的相关疾病:主要有胆囊结石、胆囊炎,胆道结石、胆管炎、肝脏占位性病变、肝肿瘤等,可以造成腹部的疼痛。 2、胃肠道的疾病
2025-10-22 22:27:14