
-
声音嘶哑一直不好是什么原因
声音嘶哑一直不好可能是过度用嗓、食物刺激、反流性食管炎、喉炎、声带息肉等原因引起的,患者应及时就医,在医生的指导下规范治疗。1、过度用嗓: 如果长时间说话,或大声吼叫,会导致声带疲劳,从而导致声音嘶
2025-11-07 23:00:55

-
白血病嗜酸性粒细胞总数高
白血病嗜酸性粒细胞总数高,属于外周血检查的一种结果,可能是反应性增多引起,也可能是过敏、皮肤病等引起。出现相关情况时,建议及时到医院就诊,明确诊断后根据情况采取针对性治疗。 1、反应性增多:如果存在
2025-11-07 23:00:55

-
肠癌检查后有什么好的治疗办法
肠癌患者在进行完检查之后,需要根据肿瘤的具体情况来选择合适的治疗方法。通常情况下可以采取手术切除、放疗和化疗等方法来进行处理。 1、手术切除:对于早期发现并确诊为原位癌或微小浸润性腺瘤样息肉者,可采
2025-11-07 23:00:55

-
鼻窦炎流这种黄色鼻涕是什么情况
患者出现鼻窦炎,且流出黄脓性分泌物的情况时,可能是由于细菌感染导致。建议及时就医,在医生指导下进行治疗。 1、原因:当人体抵抗力下降或受到致病菌侵袭后,容易引起上呼吸道感染,从而诱发急性鼻窦炎的发生
2025-11-07 23:00:54

-
女性咽炎用什么泡水喝
女性咽炎一般可以使用胖大海、金银花、菊花、蒲公英、蜂蜜等泡水喝。如果女性出现咽炎的情况,建议及时就医。1、胖大海: 胖大海具有利咽开嗓的功效,如果女性出现咽炎的情况,可以使用胖大海泡水喝,可以有助于
2025-11-07 22:59:55

-
小孩地中海贫血该怎么办
小孩患有地中海贫血后,可以通过一般治疗、药物治疗、输血治疗等方式进行改善。如果病情比较严重,则需要及时去医院进行手术治疗。 1.一般治疗:如果是轻度的地中海贫血,没有出现明显的不适症状,可以适当吃一
2025-11-07 22:59:54

-
氧氟沙星:对眼睛有害吗
前几天和闺蜜小聚,无意间聊起了眼睛健康的话题。她提到最近眼睛有点不舒服,去医院看了,医生给她开氧氟沙星滴眼液。闺蜜有些担心,怕这个药水对眼睛有伤害。我赶紧安慰她,告诉她氧氟沙星是一种常见的抗生素,主要
2025-11-07 22:59:54

-
胆源性胰腺炎能吃鸡蛋吗
胆源性胰腺炎患者在急性发作期不建议食用鸡蛋,但在恢复期可以适量摄入经过蒸煮的蛋白。控制饮食有助于减轻胰腺负担,同时加快恢复。 胆源性胰腺炎是由于胆结石或胆道疾病导致胆汁逆流进入胰管,激活胰酶引发炎症
2025-11-07 22:59:53

-
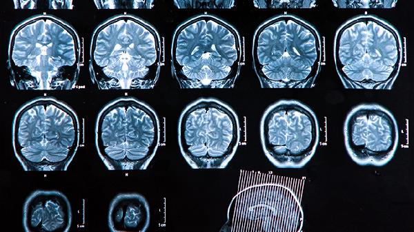
脑电波异常会有什么症状
在医学领域,脑电波是反映大脑活动的重要指标。当脑电波出现异常时,可能会给我们的身体带来一系列的症状。让我们一起来了解脑电波异常的症状吧。 1、癫痫发作:癫痫是脑电波异常最常见的症状之一。患者会突然出
2025-11-07 22:59:53

-
什么叫眼外伤
眼由于机械性或非机械性等因素直接作用于眼部,引起眼的结构和功能损害称为眼外伤。包括挫伤、异物伤、辐射伤、热烧伤、化学伤等。 眼睛受伤后,一定要及时到医院就诊,时机对于眼外伤的治疗是至关重要的,治疗后
2025-11-07 22:59:53

-
散发型患上白癜风后能治好吗
散在性白癜风是临床上比较常见的类型,属于局限性的白斑。其发病原因与遗传、自身免疫因素等有关。 1、可以治好:如果患者病情较轻,并且积极配合医生进行治疗,则通常是可以治愈的。建议患者遵医嘱使用糖皮质激
2025-11-07 22:59:53

-
婴幼儿腹泻便血严重吗
婴幼儿腹泻便血可能是严重情况的警示,家长应尽快带孩子就医,以明确病因并进行正确治疗。腹泻便血可能与感染性疾病、过敏性肠炎、肠套叠等多种问题相关,各种可能性都需及时鉴别。 腹泻便血的常见病因包括感染性
2025-11-07 22:59:52

-
滴了六个月环孢素干眼好了还会复发吗
滴用环孢素滴眼液六个月后干眼症状缓解仍存在复发可能,复发风险与用眼习惯、环境因素、基础疾病、药物依赖性及泪腺功能恢复程度有关。1、用眼习惯: 长期过度用眼会导致睑板腺功能障碍加重,即使症状缓解后,持
2025-11-07 22:59:51

-
腮帮子疼警惕四种病
腮帮子疼痛可能是多种疾病的症状,其中最为常见的有腮腺炎、颞下颌关节紊乱综合征、智齿冠周炎和牙髓炎。 腮腺炎尤其是流行性腮腺炎,是由病毒引起的传染病,表现为腮腺肿大、疼痛,伴随发热等症状。治疗时需注意
2025-11-07 22:59:51

-
眼睛胀痛 快来看眼压高是什么原因
作为一名眼科医生,我经常会遇到一些因为眼睛胀痛来看病的患者。前几天,一位年轻的女士来到我的门诊,她告诉我她的眼睛胀痛已经有好几天了,而且还伴有头痛和视力模糊。我给她做了一些检查,发现她的眼压很高,初步
2025-11-07 22:59:50

-
心脏彩超和心脏造影的区别有哪些
心脏彩超和心脏造影是两种不同的心脏检查方法,主要区别在于检查原理、适用情况、操作方式等方面。心脏彩超利用超声波成像观察心脏结构和功能,心脏造影通过X射线和造影剂显示心脏血管情况。1、检查原理 心脏彩
2025-11-07 22:59:46

-
乳腺癌可以喝汤吗
乳腺癌患者可以喝汤,比如山药排骨汤、老鸭汤。其中山药有补气的效果,还能够促进消化。鸭肉含有丰富的蛋白质,也可以喝鱼汤。 患者平时应尽量少吃油腻的食物,如肥肉和油条,不要吃辛辣刺激性食物,适当的吃一些
2025-11-07 22:59:46

-
慢性心衰的治疗方法有哪些
慢性心衰指慢性心力衰竭,通常可以通过生活调整、药物治疗、心脏康复、心脏再同步治疗、手术治疗的方式治疗。 1、生活调整:限制盐的摄入、限制饮酒、控制体重、定期监测血压和体重等,这些措施可以帮助控制心衰
2025-11-07 22:58:52

-
脑溢血保守治疗能治好吗
脑溢血,也就是我们常说的脑出血,在某些情况下通过保守治疗是有可能治好的。关键在于患者的病情轻重以及治疗的及时性。如果病情较轻并且能够及时接受有效的治疗,很多患者可以通过药物、康复训练等方法恢复健康。然
2025-11-07 22:58:50

-
认知功能障碍能治愈吗 如何治疗认知功能障碍
认知功能障碍能否治愈取决于具体病因和严重程度,部分可逆性病因导致的认知功能障碍可能通过治疗改善,但多数神经退行性疾病引起的认知障碍难以完全治愈。治疗方法主要有病因治疗、药物治疗、认知训练、生活方式调整
2025-11-07 22:58:49

-
慢性咽喉炎怎么治疗能除根
通常情况下,并没有慢性咽喉炎怎么治疗能除根的说法,慢性咽喉炎患者主要通过调整饮食、多饮水、减少用嗓、戒烟戒酒、口服药物等方法缓解,具体方法要到医院咨询医生。1、调整饮食: 慢性咽喉炎患者要以清淡饮食
2025-11-07 22:58:49

-
牙痛痛处有热感服阿莫西林胶囊行吗
牙痛、痛处有热感时是否可以服用阿莫西林胶囊需要根据引起的原因进行判断。如果是由于上火导致的,则可以遵医嘱使用该药物治疗。但若是由龋齿或牙髓炎等疾病引起的,则不可以服用。 1.上火:如果患者在日常生活
2025-11-07 22:58:49

-
坐热板凳会长痔疮 医生辟谣:真正病因只有这5个
坐热板凳会不会得痔疮?这个流传已久的说法让多少人在公交地铁上宁愿站着也不敢坐别人刚起身的座位。但真相可能会让你大跌眼镜——热板凳和痔疮之间,根本没有半毛钱关系!一、热板凳导致痔疮?纯属无稽之谈 1、
2025-11-07 22:58:48

-
熬夜会拉肚子怎么回事
熬夜拉肚子主要见于微生态环境紊乱、肠道蠕动功能紊乱等。 1、微生态环境紊乱 :由于熬夜导致机体的微生态环境紊乱,肠道菌群紊乱,导致肠道微生态出现破坏,出现拉肚子。针对这种情况需要应用调节肠道菌群的药
2025-11-07 22:58:48

-
湿疹应该注意什么
湿疹患者首先要寻找致病的过敏原,确诊过敏原以后要尽量避开过敏原,并且在日常生活中要穿纯棉的,宽松一些的衣服,饮食上不要吃辛辣刺激的食物。 可以在医生的指导下涂抹药物进行治疗,症状严重的时候也可以搭配
2025-11-07 22:58:46